Información para pacientes
Procedimientos, cirugias e indicaciones medicas útiles.
- Artroscopía de rodilla
- Prótesis total de cadera
- Prótesis Total de Rodilla
- Artroscopía de Hombro
- Tratamiento quirúrgico de las fracturas
- Reconstrucción del Ligamento Cruzado Anterior
- Manejo de la Conmoción Cerebral en el deporte
- Cirugía de Conservación de Miembros
- Indicaciones preoperatorias Dr. Emilio Corinaldesi
Artroscopía de rodilla
La artroscopia de rodilla es un procedimiento quirúrgico que consiste en la realización de distintos procedimientos a través de pequeñas incisiones en la rodilla (portales). De esta manera se obtiene la visualización directa de la articulación con gran aumento y permite realizar gestos quirúrgicos con el objetivo de resolver distintas patologías articulares.
Principales indicaciones para Artroscopía de rodilla
- Lesiones meniscales. Se realizan meniscectomías (resección de uno o ambos meniscos) parciales y suturas meniscales.
- Plásticas del ligamento cruzado anterior (LCA) o Ligamento cruzado posterior (LCP).
- Procedimientos sobre el cartílago articular.
- Resección de cuerpos libres articulares.
- Asistencia en el tratamiento de fracturas articulares.
Claves
Realizar un estudio prequirúrgico adecuado (clínico y por imágenes) permitirá llegar a la cirugía con la mayor certeza posible sobre el procedimiento artroscópico que se realizará. En casos seleccionados, la artroscopía de rodilla puede ser la última instancia de diagnóstico (Artroscopía diagnóstica).
Muchos de los procedimientos artroscópicos pueden realizarse de manera ambulatoria o con internaciones breves lo que permitiría una rápida incorporación a sus actividades habituales. Siempre el retorno a las actividades dependerá del procedimiento artroscópico realizado.
Al ser un procedimiento realizado a través de pequeñas incisiones permite un comienzo precoz de la rehabilitación y una morbilidad postoperatoria
menor. Siempre los protocolos postoperatorios dependerán de la patología de base y del procedimiento realizado.
Prótesis total de cadera
La Prótesis Total de Cadera (PTC) es una cirugía de reemplazo articular que consiste en la sustitución de la articulación de la cadera por elementos protésicos. La cadera consta de 2 superficies articulares, el acetábulo que se encuentra en la pelvis, y la cabeza y cuello de fémur. En las Artroplastías Totales se reemplazan las 2 superficies articulares. También existen Prótesis parciales (sólo se reemplaza la cabeza y cuello femoral) y las Prótesis de Superficie (se reemplaza la superficie articular del fémur).
Tipos de Prótesis de Cadera
El material de las PTC son por lo general aleaciones (combinacion de 2 o más metales) y la manera de fijarse al hueso del paciente puede ser a través del cementado (con un cemento quirúrgico - PTC cementadas o Híbridas) o no cementado de los componentes (PTC no cementadas). La decisión entre ambas PTC depende de distintos factores y el cirujano es quién debe definir la mejor opción. El tiempo de internación puede ser variable pero por lo general los pacientes permanecen internados al menos 72 h. Dentro de la misma internación comienzan con ejercicios de rehabilitación y luego del alta hospitalaria continúan con la rehabilitación en su domicilio. El objetivo de esta cirugía es que los pacientes realicen una vida normal, sin dolor y realizando actividades de bajo impacto articular.
Principales indicaciones para Prótesis total de cadera
- Artrosis de cadera
- Alteraciones del desarrollo de la cadera
- Fracturas del cuello del fémur
Claves
Tener un adecuado seguimiento y coordinación entre su médico de cabecera y su cirujano ortopédico puede disminuir la incidencia de complicaciones clínicas y contribuye a que los pacientes lleguen al momento de la cirugía en las mejores condiciones posibles.
Tener un adecuado seguimiento clínico y ortopédico y comenzar con el protocolo de prevención de complicaciones lo antes posible luego de terminada la cirugía.
Comenzar con la rehabilitación en la misma internación y continuarla en su domicilio con rehabilitadores entrenados y que permanezcan en contacto con el cirujano permanentemente. Seguir las guías de movimientos permitidos y aquellos que conviene evitar con el objetivo de disminuir la posibilidad de complicaciones.
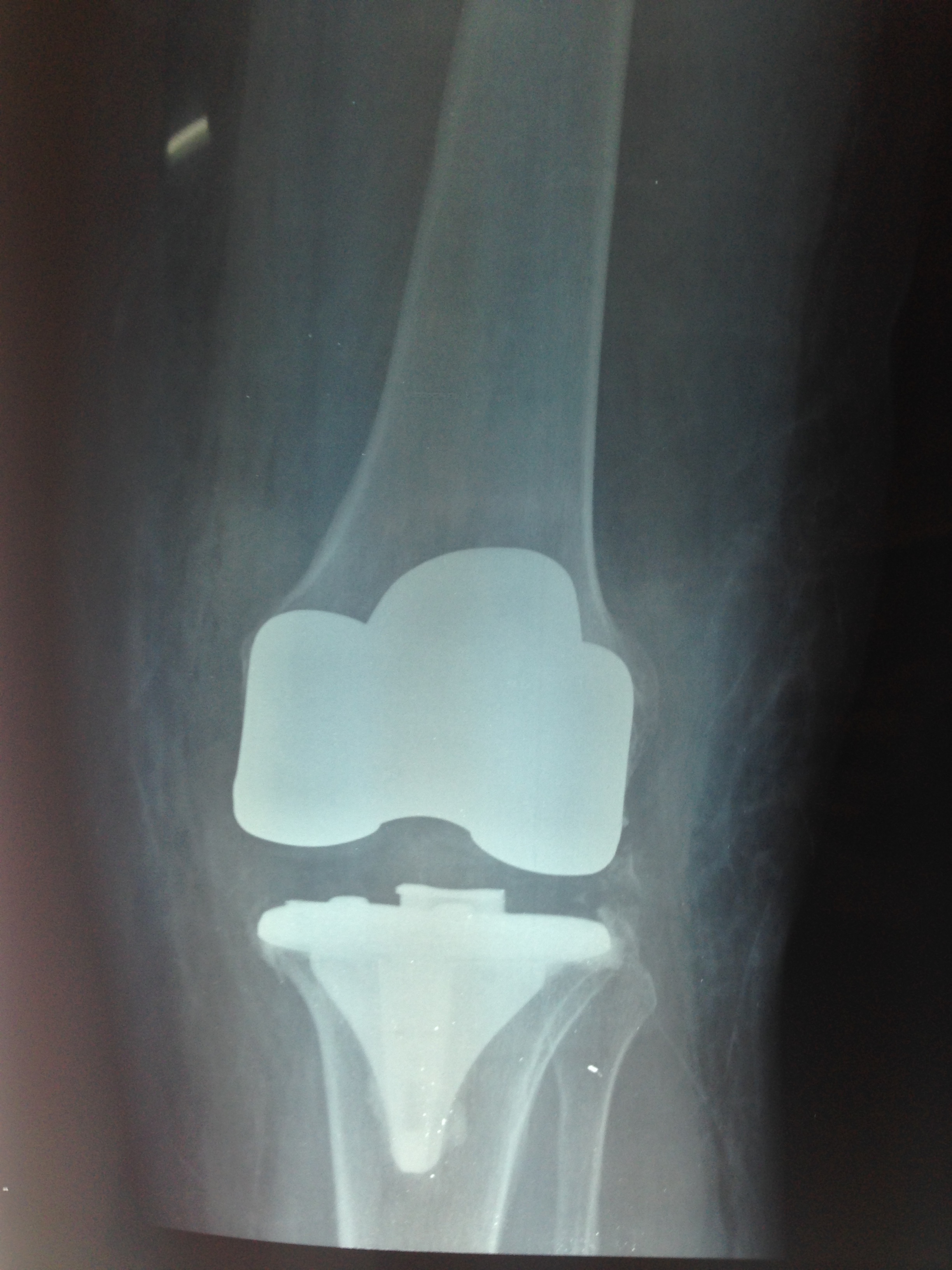
Prótesis Total de Rodilla
La Prótesis Total de Rodilla (PTR) es una cirugía de reemplazo articular que consiste en la sustitución de la articulación de la rodilla por elementos protésicos. Consiste en el reemplazo de la superficie articular del fémur, la tibia y la rótula y tiene como objetivo restablecer la función y aliviar el dolor en situaciones como la artrosis de rodilla.
Las prótesis más habituales son las totales o las parciales (también llamadas unicompartimentales). Los componentes más utilizados consisten en aleaciones de cromo - cobalto - molibdeno y un componente de polietileno en el lado tibial de la articulación. La incisión que se utiliza con más frecuencia para esta cirugía es la localizada en la cara anterior de la rodilla.
Luego de la cirugía se indica a los pacientes la movilización precoz de la articulación y la deambulación progresiva con ayuda externa (andador o bastón) siempre bajo la supervisión inicial de un rehabilitador.
Claves
Tener un adecuado seguimiento y coordinación entre su médico de cabecera y su cirujano ortopédico puede disminuir la incidencia de complicaciones clínicas y contribuye a que los pacientes lleguen al momento de la cirugía en las mejores condiciones posibles.
Tener un adecuado seguimiento clínico y ortopédico y comenzar con el protocolo de prevención de complicaciones lo antes posible luego de terminada la cirugía.
Comenzar con la rehabilitación en la misma internación y continuarla en su domicilio con rehabilitadores entrenados y que permanezcan en contacto con el cirujano permanentemente.
Artroscopía de Hombro
La Artroscopía de Hombro es un procedimiento quirúrgico a través del cual se pueden resolver distintas patologías de la articulación del hombro realizando pequeñas incisiones (portales) que permiten la introducción de una cámara de gran aumento y elementos de precisión.
Principales indicaciones para Artroscopía de Hombro
- Reparación de lesiones del labrum. Tratamiento de la inestabilidad del hombro.
- Reparación de las lesiones del manguito rotador del hombro.
- Descompresión subacromial.
- Resección de la clavícula distal.
- Asistencia en el tratamiento de fracturas articulares.
- Lesiones del tendón del bíceps.
- Capsulitis adhesiva y procesos de pérdida de movilidad del hombro.
Claves
Dependiendo del procedimiento a realizar y de la elección del cirujano la posición quirúrgica puede ser sentado (posición en silla de playa) o de costado (decúbito lateral). Es muy importante el correcto posicionamiento durante el procedimiento.
La mayoría de estos procedimientos pueden realizarse de manera ambulatoria o con internaciones breves. El tipo de anestesia puede ser general o regional (bloqueos regionales).
Tratamiento quirúrgico de las fracturas
Las fracturas que se producen en el sistema musculoesquelético pueden ser tratadas mediante la inmovilización (yeso, eventualmente férulas) o mediante un tratamiento quirúrgico. Los conceptos que guían el tratamiento quirúrgico de las fracturas se engloban dentro del término osteosíntesis. Las indicaciones quirúrgicas de las fracturas son muy precisas y depende del tipo de fractura, ubicación dentro del hueso (por ejemplo si afecta o no a una articulación), el hueso afectado y características propias de los pacientes. En términos generales el objetivo del tratamiento quirúrgico de las fracturas es realizar una estabilización de la fractura en una correcta posición que permita comenzar con una rehabilitación precoz preservando las estructuras blandas que rodean al hueso (piel, músculos, por ejemplo). Los elementos con los que se estabilizan las fracturas más frecuentemente son las placas con tornillos y los clavos endomedulares. En algunas localizaciones específicas, las fracturas pueden tratarse con prótesis de reemplazo articular.
Claves
El tratamiento de las fracturas es guiado siempre por características particulares de la fractura (personalidad de la fractura).
Es importante realizar una correcta planificación preoperatoria.
Un porcentaje variable de las fracturas pueden no consolidar (pseudoartrosis) a pesar del tratamiento correcto. Esto depende de la ubicación, energía involucrada en la producción de la fractura, características de la fractura y antecedentes clínicos de los pacientes.
Reconstrucción del Ligamento Cruzado Anterior
La reconstrucción artroscópica del Ligamento Cruzado Anterior (LCA) es una técnica quirúrgica que permite, a través de pequeñas incisiones, realizar la recontrucción del LCA. El LCA es uno de los principales estabilizadores de la rodilla. Su lesión tiene como característica no evolucionar hacia la cicatrización por lo que su reconstrucción resulta en la única opción viable para devolver la estabilidad a la rodilla. Las consecuencias a mediano y largo plazo de la inestabilidad de rodilla por ruptura del LCA consisten en lesiones meniscales, del cartílago articular y una artrosis precoz.
Tipos de injertos para la reconstrucción del LCA
Los 2 injertos tendinosos más utilizados para la reconstrucción del LCA son el 1/3 central del tendón rotuliano y los injertos isquiotibiales (semitendinoso y recto interno). La elección del injerto depende de la experiencia del cirujano y de características del paciente.
La fijación del injerto al paciente se realiza a través de distintos métodos los cuales suelen quedar a elección del cirujano.
Luego de la cirugía los pacientes ingresan a un protocolo de rehabilitación con el objetivo de retornar a su actividad habitual, lo cual sucede en la mayoría de los casos.
Es importante respetar las distintas etapas de la rehabilitación con el objetivo de evitar la aparición de complicaciones que comprometan el resultado final del procedimiento.
Claves
Un correcto estudio prequirúrgico permite diseñar la mejor estrategia, elegir el tipo de injerto adecuado y el mejor método de fijación para ese paciente. Es importante el tipo y nivel de actividad deportiva del paciente para la elección del injerto que mejor se adapte a su situación.
La mayoría de estos procedimientos pueden realizarse de manera ambulatoria o con internaciones breves. Algunos cirujanos prefieren inmovilizar a los pacientes en el postoperatorio inmediato con una férula en extensión de rodilla
Es importante comenzar con una rehabilitación precoz pero de manera gradual y según tolerancia. Si no hay ninguna situación que lo contraindique, el apoyo con muletas puede realizarse desde el inicio.
Manejo de la Conmoción Cerebral en el deporte
La Conmoción Cerebral (CC) es una alteración funcional del cerebro producto de un traumatismo directo o indirecto. Es más frecuente de observar en jugadores de deportes de contacto pero puede suceder en cualquier otra situación. Los síntomas más frecuentes son mareos, alteraciones visuales, pérdida de memoria, náuseas, vómitos, pérdida del equilibrio y obnubilacion, entre otros. La pérdida de conocimiento se produce en aproximadamente 10 % de los casos y no es un signo característico de la CC. La clave en el diagnóstico de una CC en el deporte es el alto índice de sospecha y el conocimiento de los principales síntomas.
El diagnóstico es clínico
Las imágenes por lo general son normales
La sola sospecha de una CC es suficiente para retirar al jugador del campo de juego y que comience el protocolo de rehabilitación
Claves
Identificar los posibles síntomas de una CC y retirar al jugador del campo de juego ante la sospecha de la misma
Nunca dejar solo a un jugador con sospecha de CC
El principal tratamiento de una CC es el reposo físico y mental.
Siempre es importante contactar al médico del Club o Unión para una mejor evaluación y comenzar con los protocolos de CC disponibles.
RECORDAR QUE LOS NIÑOS Y LOS DEPORTISTAS ADOLESCENTES ESTAN MAS EXPUESTOS A SUFRIR UNA CC Y LAS CONSECUENCIAS DE LA MISMA PUEDEN SER POTENCIALMENTE GRAVES
Cirugía de Conservación de Miembros
La cirugía de conservación de miembros es una técnica quirúrgica muy utilizada en Ortopedia Oncológica, caracterizada por la resección de tumores musculoesqueléticos y la reconstrucción posterior del miembro afectado con el objetivo de devolverle al paciente una adecuada función luego de la resección. Dichos procedimientos debeb ser adecuados a las características del paciente, la localización de la lesión, el tipo de lesión y las estructuras involucradas. Años atrás la resección oncológica de los tumores musculoesqueléticos se realizaba a través de amputaciones de miembros con la consiguiente limitación funcional. Si bien hoy en día seguimos encontrando casos en donde la alternativa para una curación sigue siendo la amputación del miembro, la cirugía de conservación de miembros se indica actualmente en mas del 95 % de los casos. Siempre, es aconsejable consultar con un cirujano especialista en ortopedia oncológica y cirugía de conservación de miembros para adecuar el tratamiento a las características del paciente.
Claves
Siempre es aconsejable evaluar los pacientes con tumores musculoesqueléticos de manera interdisciplinaria. Esto significa, cirujanos ortopédicos, oncólogos clínicos, radioterapeutas, especialistas en diagnóstico por imágenes y anatomopatólogos.
Indicaciones preoperatorias Dr. Emilio Corinaldesi
- Presentarse 2 hs antes de la cirugía en Oficina de Admisión.
- Concurrir con ayuno de 8 h (esto incluye sólidos y líquidos). Este aspecto es importante para su protección.
- Las 48 h previas a la cirugía bañarse con jabón pervinox.
- Concurrir con todos los estudios prequirúrgicos completos (estudios por imágenes, evaluación cardiovascular, exámenes de laboratorio).
- Aguarde con paciencia su turno quirúrgico. En caso de demora se le comunicará lo antes posible.
- Concurrir con venda elástica Coban o tipo Coban / férula de rodilla / cabestrillo según estuviera indicado.
- Llevar tegaderm de 10 cm.
- Marcar con un SI en el miembro a operar.
- Consultas: emiliocorinaldesi@timinstituto.com.ar - 4542942
Claves
Cirugía meniscal, lesiones del cartílago, Artroplastías de rodilla: Concurrir con venda elástica Coban 3M o tipo Coban.
Cirugía de Ligamento Cruzado Anterior: Férula de rodilla.
Concurrir con cabestrillo tipo vietnam.
Traer a la cirugía Tegaderm.
























